NOTICIas

Antes y después de un tratamiento integral de ortodoncia
✨ Caso real, sonrisas reales ✨La Dra. Diana Montagut, experta en ortodoncia y armonización orofacial, nos presenta el caso de Carla, un tratamiento planificado paso

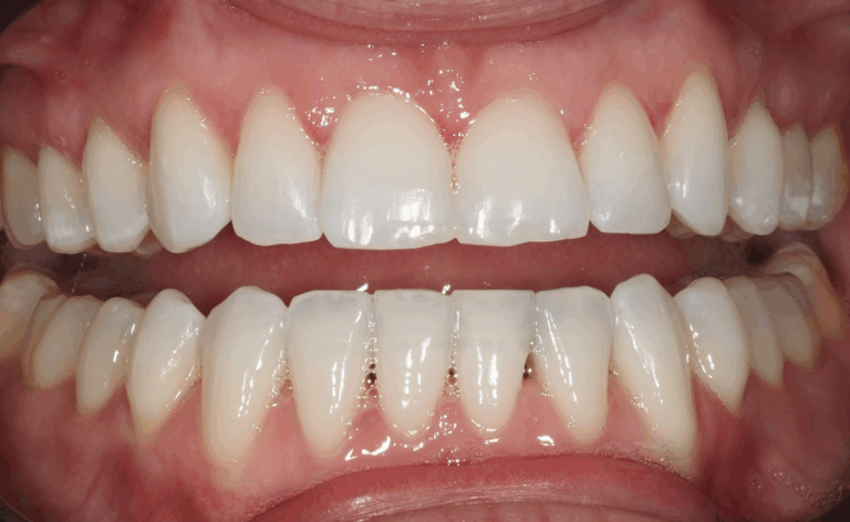
Triángulos negros en ortodoncia: qué son y cómo los tratamos en Diseño Sonrisa
Una sonrisa bonita no solo depende de tener los dientes alineados, sino también de la armonía entre dientes, encías y labios. Tras un tratamiento de

¿Por qué es tan importante reponer un diente perdido con un implante dental?
En DiseñoSonrisa, tu clínica dental en Roquetas de Mar y Almería, sabemos que perder un diente no solo afecta a tu sonrisa, sino también a

Respirar por la nariz: la clave para un desarrollo facial saludable en los niños
La respiración y el crecimiento facial: más relacionados de lo que crees La forma en que un niño respira influye directamente en cómo se desarrolla

Diseño digital 3D: ¿Te imaginas poder ver tu sonrisa antes de empezar el tratamiento?
¿Te imaginas poder ver tu sonrisa antes de empezar el tratamiento? En Diseño Sonrisa lo hacemos posible con nuestro diseño digital 3D. Planificamos tus coronas

Caso de Blanqueamiento dental, ¡mira el antes y el después!
Recupera el blanco natural de tu sonrisa con nuestro tratamiento de blanqueamiento dental profesional! .En Diseño Sonrisa, antes de realizar cualquier blanqueamiento, evaluamos la salud

Caso de carillas planificadas digitalmente con Exocad
Caso de carillas planificadas digitalmente con Exocad ✨ En Diseño Sonrisa Roquetas de Mar trabajamos con la tecnología digital más avanzada para diseñar sonrisas únicas

Estética Dental y Blanqueamiento en Almería: Transforma Tu Sonrisa en Diseño Sonrisa
En Diseño Sonrisa, clínica dental de referencia en Almería, sabemos que una sonrisa bonita es mucho más que una cuestión estética: es confianza, bienestar y

Novedades en Diseño Sonrisa
Láser Dental en Roquetas de Mar y Almería: Tecnología Avanzada para tu Sonrisa En Diseño Sonrisa nos comprometemos cada día con una odontología más cómoda,

Diseño Sonrisa en el Congreso de la Sociedad Española de Ortodoncia y Ortopedia Dentofacial (SEDO)
Este fin de semana, la Dra. Diana Montagut se encuentra participando en el Congreso de la Sociedad Española de Ortodoncia y Ortopedia Dentofacial (SEDO), un

Antes y después de un tratamiento integral de ortodoncia
✨ Caso real, sonrisas reales ✨La Dra. Diana Montagut, experta en ortodoncia y armonización orofacial, nos presenta el caso de Carla, un tratamiento planificado paso

Triángulos negros en ortodoncia: qué son y cómo los tratamos en Diseño Sonrisa
Una sonrisa bonita no solo depende de tener los dientes alineados, sino también de la armonía entre dientes, encías y labios. Tras un tratamiento de

¿Por qué es tan importante reponer un diente perdido con un implante dental?
En DiseñoSonrisa, tu clínica dental en Roquetas de Mar y Almería, sabemos que perder un diente no solo afecta a tu sonrisa, sino también a

Respirar por la nariz: la clave para un desarrollo facial saludable en los niños
La respiración y el crecimiento facial: más relacionados de lo que crees La forma en que un niño respira influye directamente en cómo se desarrolla

Diseño digital 3D: ¿Te imaginas poder ver tu sonrisa antes de empezar el tratamiento?
¿Te imaginas poder ver tu sonrisa antes de empezar el tratamiento? En Diseño Sonrisa lo hacemos posible con nuestro diseño digital 3D. Planificamos tus coronas

Caso de Blanqueamiento dental, ¡mira el antes y el después!
Recupera el blanco natural de tu sonrisa con nuestro tratamiento de blanqueamiento dental profesional! .En Diseño Sonrisa, antes de realizar cualquier blanqueamiento, evaluamos la salud

Caso de carillas planificadas digitalmente con Exocad
Caso de carillas planificadas digitalmente con Exocad ✨ En Diseño Sonrisa Roquetas de Mar trabajamos con la tecnología digital más avanzada para diseñar sonrisas únicas

Estética Dental y Blanqueamiento en Almería: Transforma Tu Sonrisa en Diseño Sonrisa
En Diseño Sonrisa, clínica dental de referencia en Almería, sabemos que una sonrisa bonita es mucho más que una cuestión estética: es confianza, bienestar y

Novedades en Diseño Sonrisa
Láser Dental en Roquetas de Mar y Almería: Tecnología Avanzada para tu Sonrisa En Diseño Sonrisa nos comprometemos cada día con una odontología más cómoda,

Diseño Sonrisa en el Congreso de la Sociedad Española de Ortodoncia y Ortopedia Dentofacial (SEDO)
Este fin de semana, la Dra. Diana Montagut se encuentra participando en el Congreso de la Sociedad Española de Ortodoncia y Ortopedia Dentofacial (SEDO), un


