estética dental y blanqueamiento

Estética dental y blanqueamiento en Almería

En nuestra clínica dental en Almería y Roquetas de Mar, ofrecemos tratamientos avanzados de estética dental y blanqueamiento dental, enfocados en mejorar la apariencia de tu sonrisa con soluciones personalizadas, mínimamente invasivas y totalmente seguras. Nuestro objetivo es ayudarte a conseguir una sonrisa armónica y natural que potencie tu confianza y bienestar.
Contamos con un equipo de profesionales altamente cualificados y la última tecnología en odontología estética para garantizar resultados predecibles y duraderos. A continuación, te explicamos las principales opciones de tratamiento que ofrecemos:

Carillas de Composite en Almería

Las carillas dentales de composite son una opción estética eficaz, rápida y asequible para transformar tu sonrisa. Se trata de finas capas de resina compuesta que se aplican directamente sobre la superficie del diente para corregir imperfecciones como manchas, fracturas, separaciones, desgastes o irregularidades de forma.

  • Ventajas: Tratamiento poco invasivo, generalmente sin necesidad de tallar el diente.

  • Aplicación en una sola visita, con resultados inmediatos.

  • Reversibles y reparables en caso de daño.

  • Perfectas para pacientes jóvenes o como tratamiento provisional en una rehabilitación completa.

    En nuestra clínica dental en Almería, utilizamos composites de última generación que imitan con precisión el color y la textura del esmalte natural.

En nuestra clínica dental en Almería, utilizamos composites de última generación que imitan con precisión el color y la textura del esmalte natural.

Carillas de Composite Inyectadas en Almería

Las carillas de composite inyectadas representan una evolución en los tratamientos estéticos dentales, ofreciendo una solución precisa, rápida y mínimamente invasiva para mejorar la sonrisa. Este procedimiento consiste en inyectar resina compuesta en una guía transparente diseñada a medida, que se adapta perfectamente a los dientes del paciente, permitiendo lograr un diseño estético ideal sin necesidad de tallado dental.

  • Ventajas:

    • Técnica altamente conservadora: sin desgaste o tallado del diente natural.

    • Resultados predecibles gracias a la planificación digital previa.

    • Aplicación rápida y cómoda, generalmente en una sola sesión.

    • Posibilidad de modificar o reparar fácilmente en caso de necesidad.

    • Ideal para rejuvenecer la sonrisa o corregir pequeñas imperfecciones de forma y color.

Carillas Cerámicas (Porcelana)

Las carillas de porcelana o carillas cerámicas ofrecen una estética superior y una mayor durabilidad en comparación con las de composite. Se fabrican a medida en laboratorio y se colocan sobre los dientes anteriores para corregir defectos estéticos severos o cuando se busca una transformación completa de la sonrisa.

  • Altamente resistentes a manchas (café, vino, tabaco…).

  • Durabilidad: pueden mantenerse en perfecto estado durante más de 10 años.

  • Resultado estético inigualable, gracias a su translucidez y apariencia natural.

  • Indicadas en pacientes exigentes que desean una sonrisa perfecta y duradera.


Nuestras carillas cerámicas se diseñan de forma digital (Digital Smile Design) para ofrecer una vista previa del resultado final antes de iniciar el tratamiento.

Incrustaciones Dentales Estéticas

Las incrustaciones dentales son restauraciones parciales de cerámica o composite utilizadas para reparar dientes posteriores dañados por caries o fracturas, ofreciendo una alternativa más estética y conservadora frente a las coronas tradicionales.

  • Permiten conservar mayor estructura dental sana.

  • Ajuste preciso, elaborado mediante tecnología CAD/CAM.

  • Aspecto natural y gran resistencia al desgaste.

  • Indicadas para dientes con grandes reconstrucciones o tras tratamientos de endodoncia.

    En nuestra clínica dental en Almería, realizamos incrustaciones estéticas personalizadas que se integran perfectamente en tu sonrisa y ayudan a preservar la función masticatoria.

Rehabilitación Oral Completa en Almería

La rehabilitación oral completa es un tratamiento integral que combina estética dental y funcionalidad para devolver al paciente una sonrisa armónica y una mordida equilibrada. Está especialmente indicado para casos complejos de desgaste dental, pérdida de dientes, mordida incorrecta o alteraciones estéticas severas.

Este procedimiento puede incluir:

  • Carillas de porcelana o composite para la zona anterior.

  • Incrustaciones o coronas cerámicas para dientes posteriores.

  • Ajustes de oclusión (mordida) para evitar sobrecargas y bruxismo.

  • Blanqueamiento dental, si es necesario, para unificar el tono de toda la dentición.


En nuestra clínica planificamos cada caso de forma personalizada, utilizando herramientas digitales de análisis facial y diseño de sonrisa para conseguir resultados funcionales y estéticos a largo plazo.

Blanqueamiento Dental Profesional

El blanqueamiento dental en Almería y Roquetas de Mar que ofrecemos es un procedimiento seguro, eficaz y conservador, diseñado para aclarar varios tonos el color natural de tus dientes. Existen dos métodos principales:

Blanqueamiento en Clínica
Aplicamos un gel blanqueador de alta concentración activado con luz LED, con resultados visibles desde la primera sesión. Es ideal para quienes buscan un efecto inmediato y profesional bajo supervisión experta.

Blanqueamiento en Casa
Consiste en el uso de férulas personalizadas y gel blanqueante que el paciente aplica en casa, siguiendo nuestras indicaciones. El tratamiento dura aproximadamente entre 10 y 30 días y se realiza cómodamente desde el hogar.

Blanqueamiento Combinado
La opción más efectiva es combinar ambas técnicas para potenciar y mantener el resultado por más tiempo. Antes de cualquier tratamiento blanqueador realizamos una valoración personalizada y una limpieza profesional.

¿Por Qué Elegir Nuestra Clínica para Estética Dental en Almería?

  • Más de 20 años de experiencia en odontología estética y restauradora.

  • Tecnología digital de última generación (escáner intraoral, diseño digital de sonrisa, radiología 3D).

  • Tratamientos mínimamente invasivos, sin dolor y con materiales de alta calidad.

  • Asesoramiento personalizado para cada paciente.


 

Solicita tu primera consulta gratuita de estética dental en nuestra clínica de Almería y descubre todas las posibilidades para mejorar tu sonrisa.

Planificación de trataiento de estética dental y blanqueamiento
Estética dental y blanqueamiento

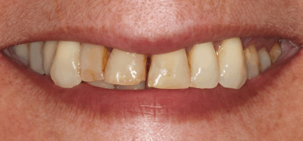
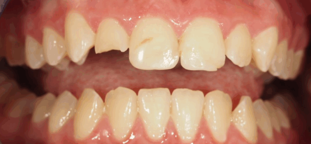
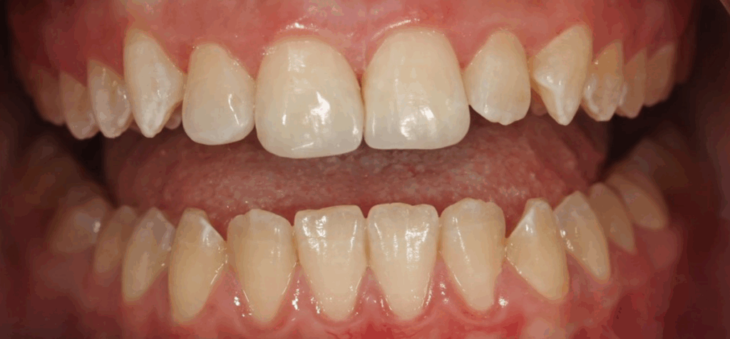
Casos resueltos

Antes

Después

Antes

Después

Antes

blanqueamiento 2 antes

Después

blanqueamiento 2 después

Antes

Después

blanqueamiento 1 después

Antes

Después

Descubre cómo podemos ayudarte a obtener la sonrisa de tus sueños con nuestros servicios especializados en estética dental en Almería. Te invitamos a explorar nuestras opciones de tratamiento y a programar una consulta para comenzar tu viaje hacia una sonrisa más brillante y confiada.

Rocío UCLÉS

Dra. Odontología
  • Odontóloga Universidad Santiago de Cali
    2013
  • Diplomado en atención a paciente con compromiso sistémico y urgencias
    odontológicas
  • Diplomado en Biomateriales y alta estética
  • Máster en rehabilitación oral, estética dental avanzada y nuevas tecnologías, Pgo
    Ucam – Almería

Alejandro García

Técnico superior en Higiene bucodental y en cuidados auxiliares de enfermería.
  • Formación en perfeccionamiento de odontología
  • Amplia experiencia en cirugía implantes
  • Formación especializada en esterilización y desinfección en ámbito sanitario.
  • Amplia experiencia en odontología general

Rocío UCLÉS

Técnico auxiliar en cuidados Auxiliar de enfermería.
  • Formación en perfeccionamiento de odontología
  • Amplia experiencia en cirugía implantes
  • Formación especializada en esterilización y desinfección en ámbito sanitario.
  • Amplia experiencia en odontología general

Rocío Chillarón

Recepcionista de la Clínica diseño sonrisa en Roquetas de Mar

Larga experiencia de atención al paciente,  gestiones administrativas, contabilidad, gestión de citas, telefónica.

Trabajo anterior ayuntamiento como trabajadora social.

 

Estudios

Diplomatura en Trabajo social y estudios administrativos.

rosa perez

Rosa Pérez

Técnico en cuidados auxiliares de enfermeria y en blanqueamiento dental con laser Quick White.

Rosa Perez Figueredo es Técnico en cuidados auxiliares de enfermeria y en blanqueamiento dental con laser Quick White.

Además, Rosa tiene formación especializada en esterilizacion y desinfeccion del ambito sanitario y en  Emergencias sanitarias. Ha sido formada en un curso de emergencia sanitaria en nuestra clínica. Lleva trabajando en esta clinica muchos años y está al cago de labores de gestión y trato al paciente.

irina sonina

Irina Sonina

Área de Odontología Conservadora y Endodoncia

Técnico Superior en higiene Bucodental (Lleida)

elena ruiz

Elena Ruiz

Área de Odontología Conservadora y Endodoncia

Licenciatura en Odontología (Universidad de Granada).

Máster en Cirugía Bucal, Periodoncia e Implantología (Universidad de León).

Especialista en Endodoncia (Universidad de Almería).

laura montagut

Laura Montagut

Periodoncia y estética dental.
Miembro de Sociedad Española de Periodoncia y Osteointegración.
Miembro de la Sociedad Española de Prótesis Estomatológica y Estética.

2007-2013
Licenciatura en Odontología (Facultad de Odontología de Granada).

2013-2016
Máster en Periodoncia e Implantología (Universidad Internacional de Cataluña).

2013-2015
Máster en Investigación de Ciencias Odontológicas (Universidad Internacional de Cataluña).

2016-2018
Máster Estética y Rehabilitación Oral (Barcelona).

aida rubi

Aida Rubí

Técnica en cuidados auxiliares de enfermería

Tiene formación especializada en esterilización y Desinfección del ámbito sanitario.

Ha realizado varios cursos en el Colegio de Odontólogos de Almería especializándose en Cirugía e Implantes y Endodoncia.

También ha asistido 2 años consecutivos al Congreso de la Sociedad Española de Periodoncia y al Congreso de la Sociedad Española de Ortodoncia.

Ha trabajado con personas con deficiencias físicas y psíquicas.

Le encanta trabajar con los más peques de la consulta.

Equipo diseño de sonrisa

Diana Montagut

Soy Diana Montagut, colegiada 1947 de Almería.

2014-2015
Diploma en dirección clínica y Gestión odontológica de DentalDoctors Madrid y Valencia.

2016
Digital Smile Design en Castellón.

2015-2016
Máster experto en posturología en Murcia.

Estudié para ser dentista en la Facultad de Odontología de la Universidad de Granadadesde 1998 hasta 2003.

Durante los 5 años de carrera, aprovechaba las  vacaciones para ver pacientes en la clínica dental de mi padre, el doctor Juan Montagut, donde vi muchos pacientes que necesitaban empastes, prótesis, tratamientos de encía, de estética dental cirugías de la mucosa oral.
También tuve la oportunidad de ver muchos tratamientos de ortodoncia en la clínica de la doctora María Dolores de Haro, mi madre que tenía una consulta de ortodoncia exclusiva. En ella pude ver a muchos niños tratados de ortopedia de los maxilares y adultos con diferentes tipos de aparatos dentales para alinear dientes.

Cuando termino la carrera, decido especializarme en ortodoncia en un lugar donde pude ver gran número de pacientes, tratar con todos los tipos de aparatos existentes en el mercado y conocer las últimas novedades del ámbito científico: El Hospital General de Cataluña donde se encuentra el Máster de Ortodoncia y Ortopedia Dentofacial de la Universidad Internacional de Cataluña dirigido por un gran equipo de dentistas especialistas en ortodoncia formados en diferentes puntos y por lo tanto allí pude conocer las diferentes corrientes y formas de tratar de la ortodoncia.

Durante esos tres años estuve en multitud de congresos nacionales e internacionales y pude hacer diagnósticos de pacientes desde un punto de vista multidisciplinar ya que en el master de ortodoncia, trabajábamos en colaboración con los máster de periodoncia, cirugía e implantes, odontopediatría, estética dental odontopediatría, endodoncia y articulación temporomandibular.  Así aprendí, que los pacientes deben ser tratados de manera global para poder llegar al mejor resultado posible.

Al finalizar el máster en 2006 volví a Almería para abrir mi clínica de Ortodoncia Exclusiva en Roquetas de Mar y trabajar en colaboración con mi madre en su clínica de Almería, las dos clínicas han sido dotadas de las últimas tecnologías.
En ambas clínicas hemos intentado crear un lugar donde podamos realizarnos profesionalmente, trabajar en equipo con un grupo de profesionales que hemos ido formando para que todos nuestros pacientes perciban que al ser tratados aquí, van a tener la tranquilidad de que todo el equipo se vuelca profesional y personalmente para conseguir los mejores resultados y para crear un buen ambiente de trabajo.

En estos años de trabajo en clínica privada, he seguido actualizándome en nuevas terapias y técnicas como la ortodoncia Lingual y la ortodoncia Invisible Invisalign. Y para mantenerme al día a nivel científico viajo a congresos nacionales e internacionales como el de la Reunión Americana de Ortodoncia en Estados Unidos y por supuesto, con frecuencia nos reunimos los compañeros que hicimos el máster de Barcelona para comentar casos clínicos de nuestros pacientes y seguir haciendo sesiones clínicas conjuntas.

También hago periódicamente reuniones con todo el personal de la clínica para mejorar el trabajo en equipo y para poner en común las últimas novedades incorporadas a la clínica. Estoy convencida de que sólo puedo conseguir los mejores tratamientos para mis pacientes si todo mi equipo también es el mejor formado y el más motivado.

Mohamed Jadar

Mohamed Jadar

Técnico en higiene bucodental.
Técnico en radiodiagnóstico dental.

Con mayor experiencia en mantenimientos periodontales, tartrectomias y tratamientos de blanqueamiento dental, además de cursos orientados a la asistencia en cirugías de implantologia dental, el tratamiento de pacientes especiales y educación dental principal mente en niños y personas con cualquier tipo de prótesis dental o aparatología.

6 meses trabajados en La Clínica dental Diseño Sonrisa de  Roquetas De Mar y actual empleado en Diseño Sonrisa Almería.

Mª Dolores de Haro

Mª Dolores de Haro

Licenciada en Medicina y Cirugía por la Universidad de Granada

1992
Médico especialista en estomatología y Doctora en medicina cumlauden.

1984-1986
Médico estomatólogo por la Universidad Complutense de Madrid.

1988-1991
Master especialista en ortodoncia en la Universidad Complutense de Madrid durante 3 años.

1989
Profesora colaboradora en la licenciatura de odontología de la Universidad Complutense de Madrid (Facultad de Odontología), departamento de Profilaxis, Odontopedriatría y Ortodoncia.

1990-1994
Docente de la Facultad de Odontología de Granada.
Autora de diversos artículos y comunicaciones relacionados con la especialidad.

2000-2002
Curso de Roth-Williams Center of Othodontic.

2003-2004
Curso de especialización en articulación Temporomandibular.

2015-2016
Diploma en Dirección Clínica y Gestión odontológica de DentalDoctors Madrid y Valencia.

2016
Digital Smile Design Oviedo.

Ir al contenido