Una sonrisa bonita no solo depende de tener los dientes alineados, sino también de la armonía entre dientes, encías y labios. Tras un tratamiento de ortodoncia, algunos pacientes pueden notar la aparición de los llamados triángulos negros, pequeños espacios que pueden afectar a la estética y a la percepción de la sonrisa. En Diseño Sonrisa, clínica dental en Roquetas de Mar y Almería, contamos con más de 20 años de experiencia en ortodoncia y somos especialistas en armonización orofacial, lo que nos permite ofrecer soluciones avanzadas y mínimamente invasivas para este tipo de casos.
¿Qué son los triángulos negros en ortodoncia?
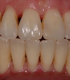
Los triángulos negros son espacios oscuros que aparecen entre los dientes, normalmente cerca de la encía, cuando esta no rellena completamente el espacio interdental. Suelen hacerse visibles tras finalizar un tratamiento de ortodoncia, especialmente en pacientes adultos.

¿Por qué aparecen?
Entre las causas más frecuentes se encuentran:
- Pérdida o retracción de la encía.
- Forma triangular de los dientes.
- Cambios en la posición dental tras la ortodoncia.
- Factores relacionados con la edad o la salud periodontal.
Aunque no suelen ser un problema de salud grave, sí tienen un impacto estético importante y pueden favorecer la acumulación de restos de comida si no se tratan adecuadamente.
Tratamiento de los triángulos negros con ácido hialurónico
En nuestra clínica, la doctora Diana, especialista en ortodoncia y armonización orofacial, realiza uno de los tratamientos más innovadores y seguros para corregir los triángulos negros: el relleno con ácido hialurónico.
¿En qué consiste esta técnica?
Se trata de un procedimiento:
- Mínimamente invasivo
- Indoloro o con molestias mínimas
- Rápido y sin necesidad de cirugía
El ácido hialurónico se aplica cuidadosamente en la zona de la papila interdental para rellenar el espacio, mejorar la forma de la encía y devolver la armonía natural a la sonrisa.

Resultados visibles y naturales
El resultado es una sonrisa:
- Más estética
- Equilibrada
- Natural
- Visualmente más saludable
Tal y como puede verse en el caso de nuestra paciente, el triángulo negro desaparece, logrando una mejora inmediata en la apariencia de la sonrisa.
Diseño Sonrisa: especialistas en ortodoncia y armonización orofacial en Roquetas de Mar y Almería
En Diseño Sonrisa cuidamos cada detalle de tu sonrisa. Nuestra trayectoria de más de dos décadas en ortodoncia y odontología general nos permite abordar cada caso de forma personalizada, combinando la odontología tradicional con las técnicas más avanzadas de armonización orofacial.
¿Por qué confiar en nosotros?
- Más de 20 años de experiencia en ortodoncia.
- Especialistas en tratamientos estéticos avanzados.
- Enfoque integral de la sonrisa.
- Ubicación en Roquetas de Mar y Almería.
- Tecnología moderna y tratamientos personalizados.
Pide cita para tu valoración personalizada
Si has terminado un tratamiento de ortodoncia y notas espacios entre tus dientes, o simplemente deseas mejorar la estética de tu sonrisa, en Diseño Sonrisa podemos ayudarte.
📍 Clínica Dental Diseño Sonrisa – Roquetas de Mar y Almería
📩 Solicita tu cita y recibe una valoración personalizada
Tu sonrisa merece atención experta, natural y armónica.



